O diagnóstico da atresia maxilar transversal vai muito além da presença da mordida cruzada posterior. Entenda as características clínicas que podem te ajudar no diagnóstico da atresia maxilar transversal e quando indicar a expansão maxilar.
Como realizar o diagnóstico da atresia maxilar transversal na ausência da mordida cruzada posterior?
Definindo a borda Wala para o diagnóstico da atresia maxilar
Características clínicas da atresia maxilar transversal
A expansão maxilar é um procedimento amplamente aceito e realizado por ortodontistas e clínicos para a correção da mordida cruzada posterior, sendo que sua prevalência é cerca de 20% na dentição decídua e 30% na dentição mista. Porém, a mordida cruzada posterior não é a única indicação clínica do procedimento de expansão maxilar.
Não é de hoje que a expansão maxilar tem sido utilizada para corrigir a deficiência maxilar transversal. Ou seja, é comum nos depararmos com a atresia de maxila, mesmo na ausência da mordida cruzada posterior, fazendo com que o procedimento de expansão maxilar tenha indicação em grande parte dos pacientes em crescimento que procuram atendimento no consultório odontológico.
Não vamos discutir aqui qual o melhor protocolo de expansão a ser utilizado em pacientes em dentição mista, mas entender QUANDO podemos realizar o procedimento e como identificar a atresia maxilar transversal em nossos pacientes.
Como realizar o diagnóstico da atresia maxilar transversal na ausência da mordida cruzada posterior?
Primeiro vamos entender que a relação transversa ideal entre maxila e mandíbula pode ser comparada à relação TAMPA / CAIXA. Dessa forma, a base da maxila é ligeiramente maior que a base da mandíbula, ou mesmo equivalente. Esta relação é importante para que os dentes consigam estabelecer a relação transversal ideal entre si.
Observe na imagem que essa relação não é observada na região de dentes, mas ligeiramente acima (ou abaixo – no arco inferior) desses, na base alveolar.
Linhas rosas simulam a dimensão transversa (amplitude – largura) da maxila e da mandíbula, apresentando relação transversa satisfatória entre as bases ósseas.
Logo, para começarmos a visualizar clinicamente a dimensão da base alveolar na maxila e mandíbula, além da relação entre os dentes, precisamos entender a definição de Borda Wala.
Expansão maxilar: A importância da borda Wala no diagnóstico da atresia maxilar
A Borda Wala pode ser considerada uma referência anatômica do osso basal na mandíbula. Consiste na faixa de tecido mole imediatamente acima da junção mucogengival, sendo exclusiva do ARCO INFERIOR, podendo ser identificada clinicamente por uma linha esbranquiçada acima da mucosa alveolar.
É importante entender que quando falamos de atresia de maxila estamos nos referindo que a maxila é estreita no sentido transversal (largura) em relação à mandíbula. E este é o parâmetro que deve ser observado pelo clínico, a base alveolar da maxila em relação à mandíbula.
Portanto, se temos uma referência anatômica da base mandibular e entendemos que a relação entre a maxila e a mandíbula consiste em uma relação semelhante a TAMPA e CAIXA. Então temos uma referência clínica que pode orientar o diagnóstico da atresia maxilar transversal.
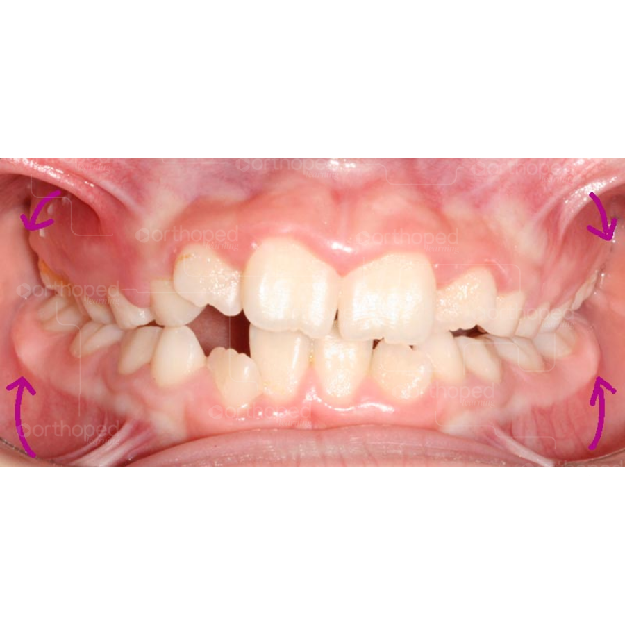
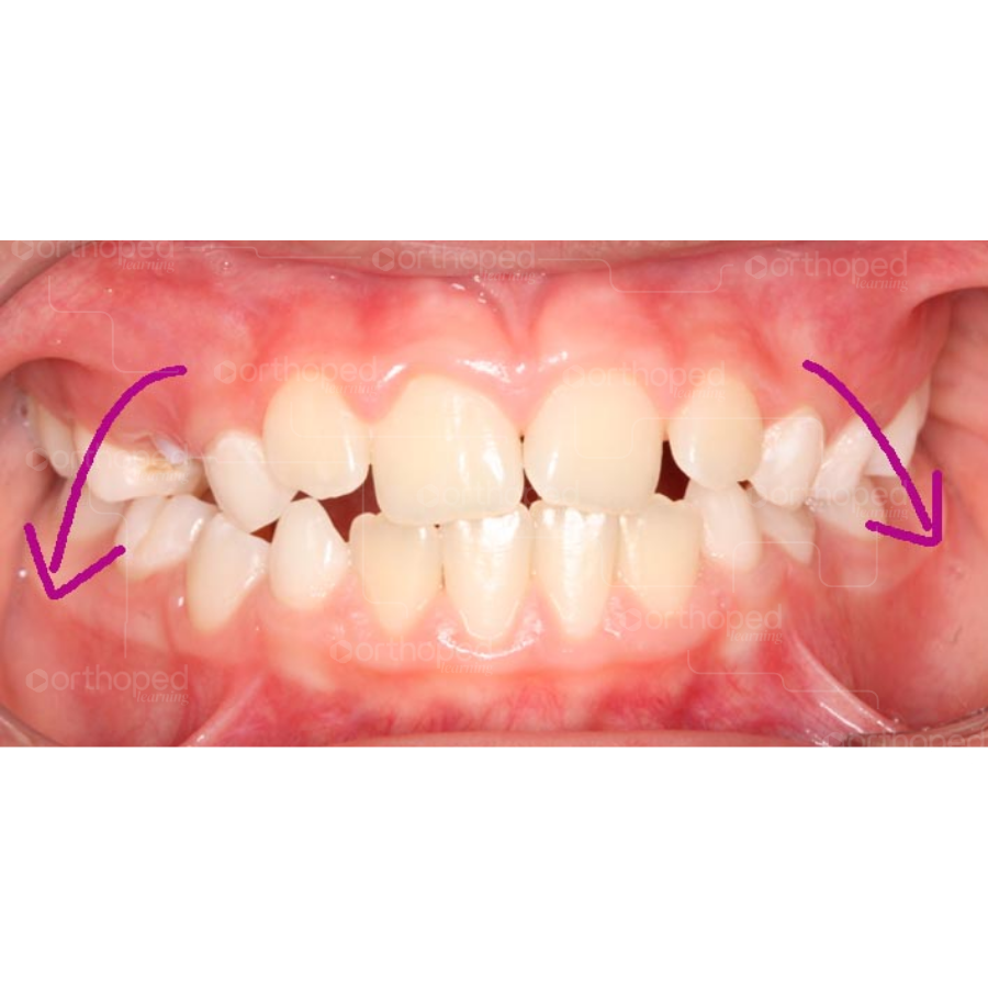
Observe abaixo a relação da borda Wala e a amplitude da maxila antes e após a expansão maxilar.
Antes da expansão maxilar.
Após a expansão maxilar.
Foi possível observar a diferença transversal entre as bases ósseas antes e após a expansão?
Identificar a “amplitude” da maxila em relação à mandíbula é o primeiro passo para o diagnóstico da deficiência maxilar transversal.
Expansão maxilar: Características clínicas da atresia maxilar transversal
Em síntese, sabemos que quando a maxila é atrésica, pequena, em relação à mandíbula, outras características clínicas além da mordida cruzada posterior também podem estar presentes.
É comum encontrar apinhamento anterior superior, falta de espaço para irrupção dos incisivos laterais superiores, palato profundo, corredor bucal amplo, além de maloclusão de Classe II ou Classe III. Porém, o diagnóstico da atresia maxilar não pode ser baseado em um único critério clínico e sim no conjunto de fatores para definirmos o melhor plano de tratamento para o nosso paciente.
Então, preparado para começar a avaliar seu paciente além da relação dentária? Prontos para identificar a Borda Wala? Estou certa de que a avaliação deste parâmetro clínico vai mudar o meio para chegar ao diagnóstico da atresia maxilar e indicar o procedimento de expansão maxilar com segurança.
Referência: Conti et al. Avaliação longitudinal de arcadas dentárias individualizadas com o método Borda Wala. Dental Press J Orhtod Mar-Apr;16 (2):65-74, 2011.
Por Juliana Pereira.




