
Ortodontia interceptiva
Perda precoce de incisivo decíduo, tudo que você precisa saber para escolha do mantenedor de espaço
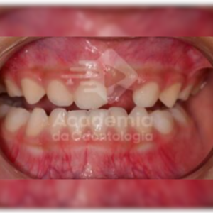
Normalmente a perda precoce de um incisivo decíduo é decorrente do trauma, certo? Podendo ser decorrente da avulsão, extração por complicações ocasionadas pelo trauma ou